Cảnh báo bệnh lý thần kinh, hô hấp vào mùa lạnh

Mùa lạnh, người cao tuổi, trẻ nhỏ dễ gặp những vấn đề về sức khỏe như các bệnh lý hô hấp, thần kinh. Vì thế, khi có bất kỳ dấu hiệu bất thường nào, các chuyên gia khuyến cáo cần phải đến cơ sở y tế khám bệnh để được điều trị kịp thời. 

z7279858148188-83e3b032ef3f214af.jpg
Bệnh nhân đến khám tại Bệnh viện Lão khoa Trung ương.

Phòng bệnh hô hấp cho người cao tuổi

Người cao tuổi là nhóm đối tượng dễ mắc các bệnh lý hô hấp do sức đề kháng và hệ miễn dịch suy giảm. Khi thời tiết có sự chênh lệch nhiệt độ lớn trong ngày, độ ẩm cao, kèm theo tình trạng khói bụi đặc trong không khí, nguy cơ mắc các bệnh như viêm mũi, viêm xoang, viêm phế quản cấp, viêm phổi là phổ biến. Đặc biệt, nguy cơ trở nên nghiêm trọng hơn ở những người cao tuổi có bệnh nền tim mạch, tăng huyết áp hoặc bệnh phổi mạn tính.

Mới đây, Bệnh viện Lão khoa Trung ương đã tiếp nhận một người bệnh 83 tuổi, trú tại Ninh Bình, nhập viện trong tình trạng khó thở tăng dần, sốt, ho kéo dài 5 ngày và mệt mỏi nhiều. Người bệnh có tiền sử bệnh phổi tắc nghẽn mạn tính nhiều năm, kèm theo suy tim, tăng huyết áp và đã từng đặt stent động mạch vành. Trước đó, người bệnh đã xuất hiện các triệu chứng ho, sốt tại nhà nhưng chủ quan điều trị, đến khi tình trạng nặng lên gia đình mới đưa đến bệnh viện.

Thăm khám cho bệnh nhân cao tuổi mắc bệnh lý hô hấp.
Thăm khám cho bệnh nhân cao tuổi mắc bệnh lý hô hấp.

Theo bác sĩ chuyên khoa II Lê Chung Thủy, Phó Trưởng khoa Tim mạch-Hô hấp, Bệnh viện Lão khoa Trung ương, người cao tuổi mắc các bệnh hô hấp mạn tính, đặc biệt là bệnh phổi tắc nghẽn mạn tính, rất nhạy cảm với sự thay đổi của thời tiết và chất lượng không khí.

"Khi nhiệt độ thay đổi đột ngột hoặc môi trường ô nhiễm, đường hô hấp dễ bị kích ứng. Chỉ cần nhiễm lạnh, viêm họng, nhiễm virus hoặc không tuân thủ điều trị thuốc đều có thể khiến bệnh chuyển sang đợt cấp, diễn biến nhanh và nặng, buộc phải nhập viện điều trị", bác sĩ Thủy chia sẻ.

Bác sĩ cũng cho biết, nhiều trường hợp bệnh trở nặng liên quan đến thói quen sinh hoạt như thay đổi nhiệt độ đột ngột từ nóng sang lạnh; chủ quan khi ngủ đêm, không giữ ấm; tiếp xúc với khói thuốc lá, thuốc lào, khói bụi và ô nhiễm không khí. Những yếu tố này làm tăng nguy cơ viêm phổi, suy hô hấp và các biến chứng tim mạch, đặc biệt nguy hiểm với người cao tuổi có nhiều bệnh nền phối hợp.

Để phòng ngừa các bệnh lý hô hấp và hạn chế biến chứng trong điều kiện thời tiết thất thường và ô nhiễm không khí, các bác sĩ khuyến cáo người cao tuổi và gia đình cần giữ ấm cơ thể khi sáng sớm và ban đêm, chú ý bảo vệ vùng cổ, ngực, mũi, họng; hạn chế ra ngoài vào thời điểm không khí ô nhiễm nặng; đeo khẩu trang khi ra ngoài.

Người cao tuổi cần tuân thủ điều trị các bệnh mạn tính theo đúng chỉ định, không tự ý bỏ thuốc; tiêm phòng đầy đủ các loại vaccine như cúm, phế cầu; đồng thời duy trì chế độ ăn uống đầy đủ dinh dưỡng, uống đủ nước để tăng cường sức đề kháng.

Khi xuất hiện các dấu hiệu như ho, sốt, khó thở, mệt nhiều, người cao tuổi cần đến cơ sở y tế sớm để được thăm khám và điều trị kịp thời, tuyệt đối không tự ý điều trị tại nhà.

Liệt dây thần kinh số VII ngoại biên trái vô căn

Bệnh viện đa khoa Medlatec vừa tiếp nhận anh T.V.S (45 tuổi) đến khám do tê bì nửa mặt trái. Qua thăm khám, các bác sĩ ghi nhận anh S. có dấu hiệu liệt dây thần kinh mặt bên trái, biểu hiện bằng méo miệng, mờ nếp nhăn vùng má, khó nhắm kín mắt và tê bì nửa mặt.

Đáng chú ý, khi yêu cầu bệnh nhân nhắm chặt hai mắt, lông mi bên mặt yếu lộ ra rõ hơn, một dấu hiệu thường gặp trong liệt dây thần kinh mặt ngoại biên.

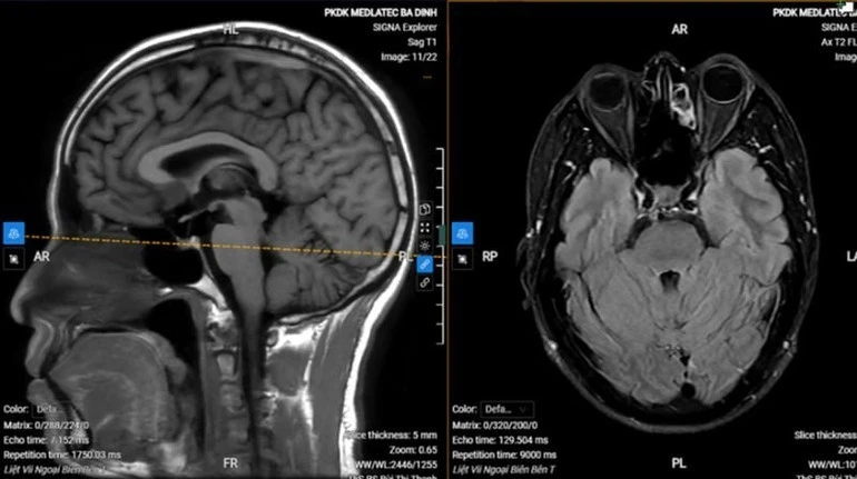
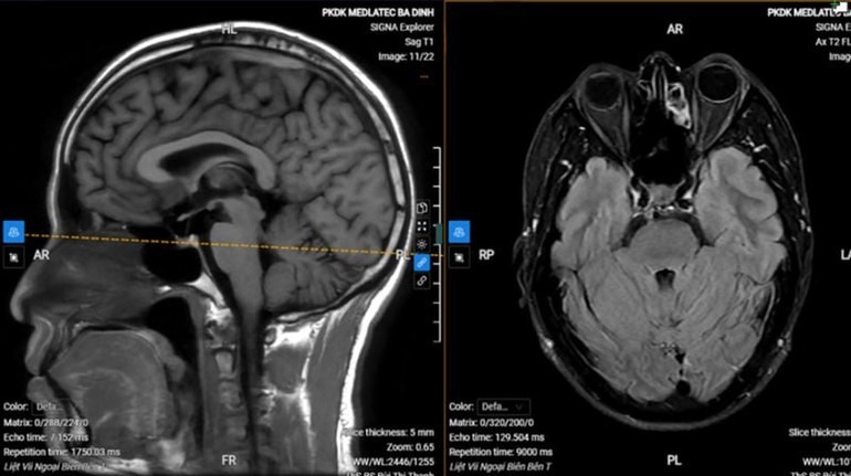
Chụp MRI sọ não cho thấy hình ảnh thoái hóa myelin chất trắng dưới vỏ bán cầu đại não bên hai bên (phân loại Fazekas độ 1), không thấy tổn thương cấp tính nội sọ.

Với kết quả trên, anh S. được chẩn đoán liệt dây thần kinh số VII ngoại biên trái vô căn (liệt Bell). Bệnh nhân được kê đơn điều trị ngoại trú, hướng dẫn tập các bài tập cơ vùng mặt, chăm sóc mắt, phối hợp châm cứu sau 1 tuần.

Theo Thạc sĩ, bác sĩ Bùi Thị Thanh, chuyên khoa Thần kinh, liệt dây thần kinh số VII ngoại biên là một bệnh tương đối phổ biến trên lâm sàng, chiếm 2,95% bệnh thần kinh (23/10.000 người/năm), thường gặp ở mùa đông-xuân và ở mọi lứa tuổi.

Nguyên nhân thường do lạnh, nhiễm trùng, chấn thương, khối u hoặc các rối loạn trong xương đá, trong đó có nguyên nhân do lạnh chiếm 80%.

Dây thần kinh số VII có chức năng liên quan đến cảm giác, vị giác, chi phối vận động của khuôn mặt. Khi bị liệt dây thần kinh số VII người bệnh thường có các biểu hiện sau: Có thể khô mắt do giảm tiết nước mắt, mi mắt nhắm không kín do liệt cơ vòng mi; một bên miệng khó hoặc không mỉm cười được, ăn nhai thường đọng thức ăn bên bị bệnh; miệng bị kéo lệch về bên lành; bệnh nhân bị đau ở góc hàm, thái dương, tai,…; vị giác thay đổi; nhạy cảm với âm thanh.

Hình ảnh chụp MRI của bệnh nhân.
Hình ảnh chụp MRI của bệnh nhân.

Trường hợp tổn thương dây thần kinh số VII ngoại biên do virus Varicella-zoster có thể kèm theo đau nhức tai nhiều, sốt, có mụn nước vành tai, ống tai.

Nếu không được phát hiện ngay từ sớm và điều trị kịp thời có thể sẽ dễ dẫn đến những biến chứng nguy hiểm. Với biến chứng mắt, bệnh nhân có thể viêm kết mạc, viêm giác mạc, khô mắt do không nhắm được mắt,… Về lâu dài sẽ gây ảnh hưởng nặng nề đến tầm nhìn. Ngoài ra, bệnh nhân còn có thể bị co thắt cơ vòng mi hoặc gặp hội chứng nước mắt cá sấu, thường xuyên tự chảy nước mắt.

Tình trạng co thắt nửa mặt sau liệt mặt gặp ở bệnh nhân bị liệt nặng. Dây thần kinh đã tổn thương nặng, tái phân bố thần kinh không phù hợp. Biến chứng này khiến bệnh nhân không chỉ đau đớn mà còn ảnh hưởng rất nhiều đến sinh hoạt thường ngày.

Bác sĩ Thanh khuyến cáo, để phòng ngừa bệnh, người dân cần lưu ý giữ ấm cơ thể, đặc biệt là vùng đầu, mặt, cổ khi đi ngoài trời lạnh hoặc sáng sớm/đêm khuya; tránh thay đổi nhiệt độ đột ngột, không tắm nước lạnh quá khuya, không để quạt hoặc điều hòa thổi thẳng vào mặt khi ngủ; nâng cao đề kháng bằng chế độ dinh dưỡng hợp lý, hạn chế rượu bia trong mùa lạnh; chủ động tiêm vaccine phòng virus Varicella-zoster.

Người dân khi xuất hiện các triệu chứng nghi ngờ bệnh, cần đến ngay cơ sở y tế có chuyên khoa thần kinh để được thăm khám và điều trị kịp thời.

nhandan.vn

Có thể bạn quan tâm

Tin cùng chuyên mục

Hợp Thành vào xuân

Hợp Thành vào xuân

Xuân Bính Ngọ 2026 đang về trên quê hương Hợp Thành, tỉnh Lào Cai trong sắc trời trong trẻo và nhịp sống rộn ràng của những ngày đầu năm mới. 

Bộ Giáo dục và Đào tạo chốt quy định bỏ xét riêng học bạ, cho thí sinh đăng ký tối đa 15 nguyện vọng

Bộ Giáo dục và Đào tạo chốt quy định bỏ xét riêng học bạ, cho thí sinh đăng ký tối đa 15 nguyện vọng

Thí sinh xét học bạ phải đạt tối thiểu điểm thi tốt nghiệp là 15/30; được đăng ký tối đa 15 nguyện vọng vào các chương trình đào tạo, các trường khác nhau; siết lại việc cộng điểm đối với chứng chỉ ngoại ngữ..., là những thay đổi đáng chú ý trong Quy chế tuyển sinh đại học năm 2026 của Bộ Giáo dục và Đào tạo. 

Xuân vui Nậm Mạt

Xuân vui Nậm Mạt

Những ngày giáp Tết Nguyên đán Bính Ngọ năm 2026, thôn Nậm Mạt, xã Mường Bo như rộn ràng hơn. Gió xuân từ triền núi thổi về mang theo mùi khói bếp, mùi gỗ mới và cả tiếng cười của trẻ nhỏ. Nếu ai từng chứng kiến nơi đây trong những ngày sau hoàn lưu bão số 10 năm 2025 đi qua, hẳn sẽ không khỏi ngỡ ngàng và hạnh phúc trước diện mạo của những ngôi nhà ở khu tái định cư thôn Nậm Mạt hôm nay.

Tết đầu tiên ở trung tâm tỉnh mới

Tết đầu tiên ở trung tâm tỉnh mới

Không khí Tết hiện diện rõ hơn trong từng góc phố, trong những phòng làm việc còn sáng đèn, trong nhịp công việc khẩn trương của những ngày giáp Tết. Với nhiều cán bộ, người lao động từ tỉnh Lào Cai (cũ) chuyển về trung tâm tỉnh, đây là cái Tết đầu tiên gắn với một hành trình mới.

Tết trong những mái ấm nghĩa tình

Tết trong những mái ấm nghĩa tình

Hiện thực hóa phong trào xóa nhà tạm, nhà dột nát, vừa qua, phường Văn Phú đã tổ chức khánh thành và bàn giao nhà tình nghĩa cho các hộ gia đình chính sách, hộ khó khăn trên địa bàn. Với sự đồng hành của cộng đồng, những công trình ý nghĩa này đã kịp thời hoàn thành ngay trước thềm Tết nguyên đán. Đây là động lực to lớn giúp bà con an cư lạc nghiệp, đồng thời khẳng định vai trò nòng cốt của Mặt trận Tổ quốc (MTTQ) trong việc huy động các nguồn lực xã hội vì mục tiêu an sinh.

Những dấu hiệu ngộ độc rượu không thể bỏ qua

Những dấu hiệu ngộ độc rượu không thể bỏ qua

Không ít trường hợp ngộ độc rượu diễn tiến nặng chỉ vì người xung quanh cho rằng “để ngủ sẽ tỉnh”. Theo bác sĩ Nguyễn Huy Hoàng, thành viên Hội Y học dưới nước và ô xy cao áp Việt Nam, nhận diện sớm dấu hiệu nguy hiểm và xử trí đúng cách có thể quyết định sự sống còn của người say rượu.

Từ lợi thế địa phương đến chuỗi giá trị xuất khẩu

Từ lợi thế địa phương đến chuỗi giá trị xuất khẩu

Lào Cai được biết đến là địa phương có tiềm năng lớn về phát triển kinh tế lâm nghiệp ở khu vực trung du và miền núi phía Bắc. Toàn tỉnh hiện có trên 338 nghìn héc-ta rừng trồng, tỷ lệ che phủ rừng duy trì ổn định trên 61%. Đây không chỉ là “lá phổi xanh” bảo vệ môi trường sinh thái mà còn là nguồn nguyên liệu dồi dào cho ngành công nghiệp chế biến lâm sản.

Tết bình dị ở “xóm” chạy thận

Tết bình dị ở “xóm” chạy thận

Những ngày cuối năm ở một xóm trọ nhỏ gần Bệnh viện Đa khoa số 1 tỉnh Lào Cai, phường Âu Lâu - nơi sinh sống của 32 bệnh nhân suy thận mạn tính, Tết đến theo một cách rất khác.

Thị trường Valentine: Xu hướng quà tặng thiết thực

Thị trường Valentine: Xu hướng quà tặng thiết thực

Năm nay, thị trường hoa và quà tặng Valentine tại Hải Phòng đa dạng, giá bình ổn. Do ngày Valentine sát với Tết Nguyên đán nên thị trường kém sôi động hơn những mùa Valentine trước. Người dân có xu hướng thiên về những món quà tặng thiết thực như: thời trang, đồ lưu niệm, hàng hóa mỹ phẩm…

"Dệt” sắc xuân từ những bàn tay

"Dệt” sắc xuân từ những bàn tay

Xuân về, mang theo hơi thở dịu dàng của đất trời, lặng lẽ gõ cửa từng bản làng, ngõ phố. Mùa xuân không chỉ hiện diện trên cành đào phai, nhành mận trắng hay trong những phiên chợ Tết rộn ràng, mà còn âm thầm lan tỏa trong từng sản phẩm thủ công truyền thống, nơi đôi bàn tay người thợ cần mẫn gửi gắm tâm huyết, giữ gìn qua nhiều thế hệ.

Sức sống của trò chơi đánh quay.

Sức sống của trò chơi đánh quay.

Đánh quay – trò chơi dân gian tưởng chừng đã mai một ở nhiều nơi vẫn đang duy trì sức sống mãnh liệt, trở thành món ăn tinh thần không thể thiếu trong đời sống văn hóa của người dân xã Lâm Thượng.

Hơi ấm tình người

Hơi ấm tình người

Khi mùa xuân “gõ cửa” từng bản làng cũng là lúc những chuyến xe nối đuôi nhau vượt dốc, băng đèo mang theo quà Tết, áo ấm và niềm vui đến với trẻ em dân tộc thiểu số còn nhiều khó khăn tại các địa phương trên địa bàn tỉnh. Những chuyến xe ấy đã mang đến cái Tết đủ đầy hơn cho các em nhỏ, lan tỏa sự sẻ chia, để mùa xuân nơi non cao thêm ấm áp, trọn vẹn.

Sẵn sàng các phương án khám, chữa bệnh cho nhân dân dịp nghỉ lễ

Sẵn sàng các phương án khám, chữa bệnh cho nhân dân dịp nghỉ lễ

Khi những phiên mổ theo kế hoạch, buổi khám bệnh định kỳ… dần kết thúc, các bệnh viện chuyển ngay sang chế độ trực Tết. Với những người thầy thuốc, Tết đến, Xuân về họ vẫn miệt mài bên giường bệnh, sẵn sàng phương án để giúp người dân đón mùa Xuân mới trong vui tươi, phấn khởi.

Ấm áp ngày Tết trong những ngôi nhà mới

Ấm áp ngày Tết trong những ngôi nhà mới

Những ngày cuối năm, khi sắc xuân lan tỏa khắp núi rừng Tây Bắc, không khí Tết đã hiện hữu trên từng nếp nhà, con đường, triền đồi. Với các hộ dân bị ảnh hưởng bởi mưa bão trên địa bàn tỉnh Lào Cai, mùa xuân năm nay càng thêm ý nghĩa. Sau những tháng ngày khó khăn, mất mát, họ được đón Tết trong những ngôi nhà mới vững chãi, an toàn và thấm đượm nghĩa tình.

fb yt zl tw