Tiểu bang Ấn Độ đối mặt với sự gia tăng số ca bệnh hiếm "amip ăn não người"

Vào đêm trước lễ Onam nhộn nhịp nhất bang Kerala, Ấn Độ, cô Sobhana (45 tuổi) đã phải nằm trên xe cứu thương trong trạng thái bất tỉnh.

Trẻ em tắm sông để tránh nóng tại Ấn Độ.
Trẻ em tắm sông để tránh nóng tại Ấn Độ.

Chỉ vài ngày trước đó, người phụ nữ kiếm sống bằng nghề đóng chai nước ép trái cây tại một ngôi làng gần thành phố Malappuram, thủ phủ của bang, đã than phiền về chóng mặt và huyết áp cao. Khi đó, các bác sĩ kê đơn thuốc và cho cô về nhà.

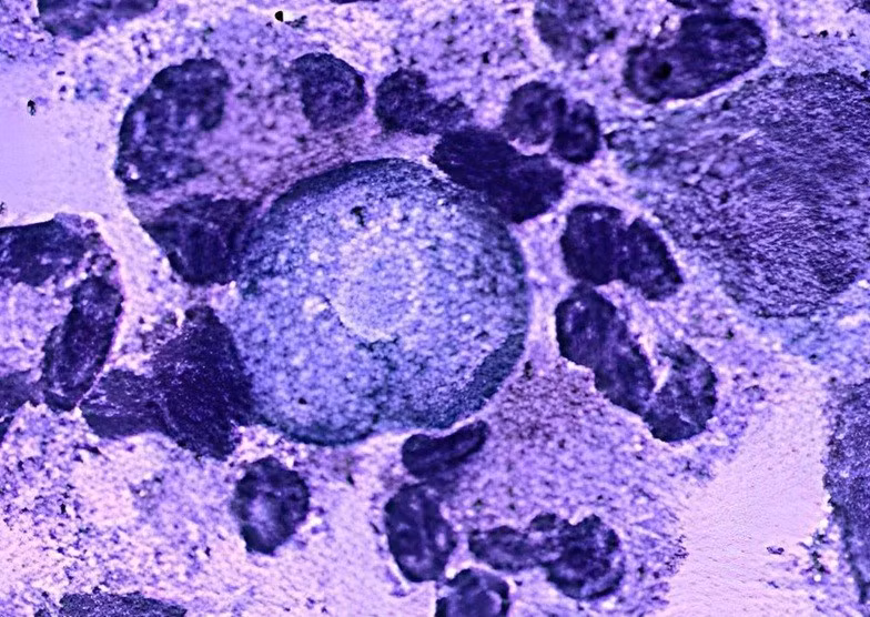
Nhưng tình trạng của cô chuyển biến xấu nhanh chóng. Cô sốt, ớn lạnh dữ dội và đến hôm 5/9, ngày chính của lễ hội - cô đã tử vong. Thủ phạm dẫn đến cái chết của cô là Naegleria fowleri - thường được gọi là amip ăn não - loại nhiễm trùng thường lây truyền qua đường mũi và hiếm gặp đến mức phần lớn bác sĩ cả đời hành nghề cũng chưa từng gặp ca tương tự.

Theo đài BBC (Anh), tiêng tại bang Kerala trong năm nay, hơn 70 người được chẩn đoán mắc bệnh và 19 người tử vong do amip ăn não. Bệnh nhân có độ tuổi đa dạng, từ em bé 3 tháng tuổi đến cụ ông 92 tuổi.

Thông thường, Naegleria fowleri gây ra tình trạng nhiễm trùng não, được gọi là bệnh viêm màng não do amip nguyên phát (PAM). Vi khuẩn xâm nhập qua đường mũi và nhanh chóng phá hủy mô não. Kerala bắt đầu ghi nhận các ca bệnh vào năm 2016 với chỉ một hoặc hai ca mỗi năm, hầu hết đều tử vong. Một nghiên cứu mới cho thấy chỉ có 488 trường hợp được ghi nhận trên toàn cầu kể từ năm 1962 - chủ yếu ở Mỹ, Pakistan và Australia. Có đến 95% nạn nhân tử vong vì căn bệnh này.

Nhưng ở Kerala, tỷ lệ sống sót dường như đang cải thiện. Năm ngoái có 39 trường hợp với tỷ lệ tử vong 23% và năm nay ghi nhận gần 70 trường hợp với tỷ lệ tử vong khoảng 24,5%. Các bác sĩ cho biết tình trạng gia tăng số ca bệnh phản ánh việc phát hiện tốt hơn, nhờ vào các phòng xét nghiệm hiện đại.

Ông Aravind Reghukumar, Trưởng khoa Bệnh truyền nhiễm tại Trường Cao đẳng Y khoa và Bệnh viện ở Thiruvananthapuram, thủ phủ của bang Kerala, cho biết: "Số ca bệnh đang tăng nhưng các trường hợp tử vong lại giảm. Xét nghiệm và chẩn đoán sớm đã tăng tỷ lệ sống sót - một chiến lược độc đáo của Kerala”. Phát hiện sớm tạo điều kiện cho điều trị tùy chỉnh. Bác sĩ thường kê cho bệnh nhân hỗn hợp gồm thuốc kháng sinh và steroid nhắm vào amip, có thể cứu sống người bệnh.

Kerala vốn phụ thuộc nhiều vào nguồn nước ngầm và các ao hồ tự nhiên vì thế càng dễ bị tổn thương khi nguồn nước ô nhiễm. Kerala có gần 5,5 triệu giếng nước, 55.000 ao hồ và hàng triệu người dân chỉ sử dụng nước giếng mỗi ngày. Nhà dịch tễ học Anish TS cho biết một số ca nhiễm trùng xảy ra ở những người tắm ao hồ, một số khác tại bể bơi và thậm chí do việc rửa mũi bằng nước – một nghi lễ tôn giáo.

Naegleria fowleri thường sinh sống trong các ao, hồ.
Naegleria fowleri thường sinh sống trong các ao, hồ.

Do vậy, các cơ quan y tế công cộng đã cố gắng ứng phó trên quy mô lớn. Vào cuối tháng 8, 2,7 triệu giếng nước đã được khử trùng bằng clo.

Chính quyền địa phương đã đặt biển báo xung quanh ao hồ khuyến cáo không nên tắm hoặc bơi lội, đồng thời viện dẫn Đạo luật Y tế Công cộng để khử trùng thường xuyên các hồ bơi và bể chứa nước. Tuy nhiên, không thể khử trùng ao hồ bằng clo bởi cá sẽ chết. Bên cạnh đó, việc kiểm soát mọi nguồn nước tại các làng mạc trong một tiểu bang có hơn 30 triệu dân là không khả thi.

Các quan chức hiện đang nhấn mạnh việc nâng cao nhận thức thay vì cấm đoán. Họ khuyến khích các hộ gia đình vệ sinh bể chứa và hồ bơi, sử dụng nước ấm sạch để rửa mũi, giữ trẻ em tránh xa vòi phun nước tưới vườn và các ao hồ không an toàn. Người bơi được khuyến cáo bảo vệ mũi bằng cách giữ đầu trên mặt nước, sử dụng nút bịt mũi và tránh khuấy động cặn bẩn trong nước ngọt tù đọng hoặc chưa qua xử lý.

Nhiều người cho biết mặc dù đã có hướng dẫn ban hành hơn một năm nhưng việc thực thi vẫn còn chưa đồng đều.

Các nhà khoa học cảnh báo biến đổi khí hậu đang làm gia tăng nguy cơ của căn bệnh này với nước ấm hơn, mùa hè kéo dài và nhiệt độ tăng cao tạo điều kiện phát triển lý tưởng cho amip ăn não người.

Nhà dịch tễ học Anish cho biết: “Ngay cả mức tăng 1 độ C cũng có thể kích hoạt sự lây lan của amip trong khí hậu nhiệt đới ở Kerala, và ô nhiễm nước càng làm trầm trọng thêm tình trạng này khi nuôi dưỡng vi khuẩn mà amip ăn”.

Kerala đang phát hiện thêm nhiều bệnh nhân và cứu được nhiều sinh mạng, nhưng bài học vượt xa ngoài biên giới của bang. Biến đổi khí hậu đang định hình lại bản đồ dịch bệnh,và ngay cả những mầm bệnh hiếm nhất cũng có nguy cơ trở nên phổ biến trong tương lai gần.

baotintuc.vn

Có thể bạn quan tâm

Tin cùng chuyên mục

Trung Quốc mua 200 máy bay Boeing: Tác động gì đến hàng không Việt Nam và khu vực?

Trung Quốc mua 200 máy bay Boeing: Tác động gì đến hàng không Việt Nam và khu vực?

Thỏa thuận Trung Quốc mua 200 máy bay Boeing trong chuyến thăm Bắc Kinh của Tổng thống Mỹ Donald Trump được dự báo sẽ tác động mạnh tới thị trường hàng không Việt Nam và châu Á. Từ cạnh tranh trung chuyển, mở rộng đội bay đến giá thuê máy bay và chuỗi cung ứng khu vực đều có thể biến động lớn.

Hội nghị thượng đỉnh Mỹ - Trung: Đồng thuận ổn định quan hệ, nhiều hồ sơ nóng vẫn chưa có đột phá

Hội nghị thượng đỉnh Mỹ - Trung: Đồng thuận ổn định quan hệ, nhiều hồ sơ nóng vẫn chưa có đột phá

Hội nghị thượng đỉnh kéo dài hai ngày giữa Tổng thống Mỹ Donald Trump và Chủ tịch Trung Quốc Tập Cận Bình tại Bắc Kinh khép lại với tín hiệu tích cực về ổn định quan hệ song phương, thúc đẩy hợp tác thương mại và một số vấn đề quốc tế, song nhiều hồ sơ gai góc như thuế quan, công nghệ hay Iran vẫn chưa được tháo gỡ căn bản.

Tổng thống Mỹ Donald Trump bắt đầu công du Trung Quốc

Tổng thống Mỹ Donald Trump bắt đầu công du Trung Quốc

Tổng thống Mỹ Donald Trump ngày 13/5 bắt đầu chuyến thăm Trung Quốc và dự kiến có các cuộc hội đàm với Chủ tịch Trung Quốc Tập Cận Bình tại Bắc Kinh trong hai ngày 15 - 16/5. Đây là cuộc gặp trực tiếp đầu tiên giữa hai nhà lãnh đạo kể từ Hội nghị cấp cao APEC tại Busan (Hàn Quốc) hồi tháng 10/2025.

Virus Hanta: WHO và Tây Ban Nha phối hợp ứng phó

Virus Hanta: WHO và Tây Ban Nha phối hợp ứng phó

Ngày 9/5, Tổng Giám đốc Tổ chức Y tế thế giới (WHO) Tedros Adhanom Ghebreyesus cho biết ông đã đến Tây Ban Nha và sẽ cùng các quan chức chính phủ giám sát việc đưa những người trên tàu du lịch bị nhiễm virus Hanta lên bờ tại quần đảo Canary.

fb yt zl tw