Thanh niên 22 tuổi đột quỵ, bác sĩ phát hiện thói quen bất thường

Ngày 22/3, PGS-TS-BS Nguyễn Huy Thắng, Trưởng khoa Bệnh lý mạch máu não, Bệnh viện Nhân dân 115, cho biết bệnh viện vừa tiếp nhận một thanh niên 22 tuổi (quê Cà Mau) bị xuất huyết não.

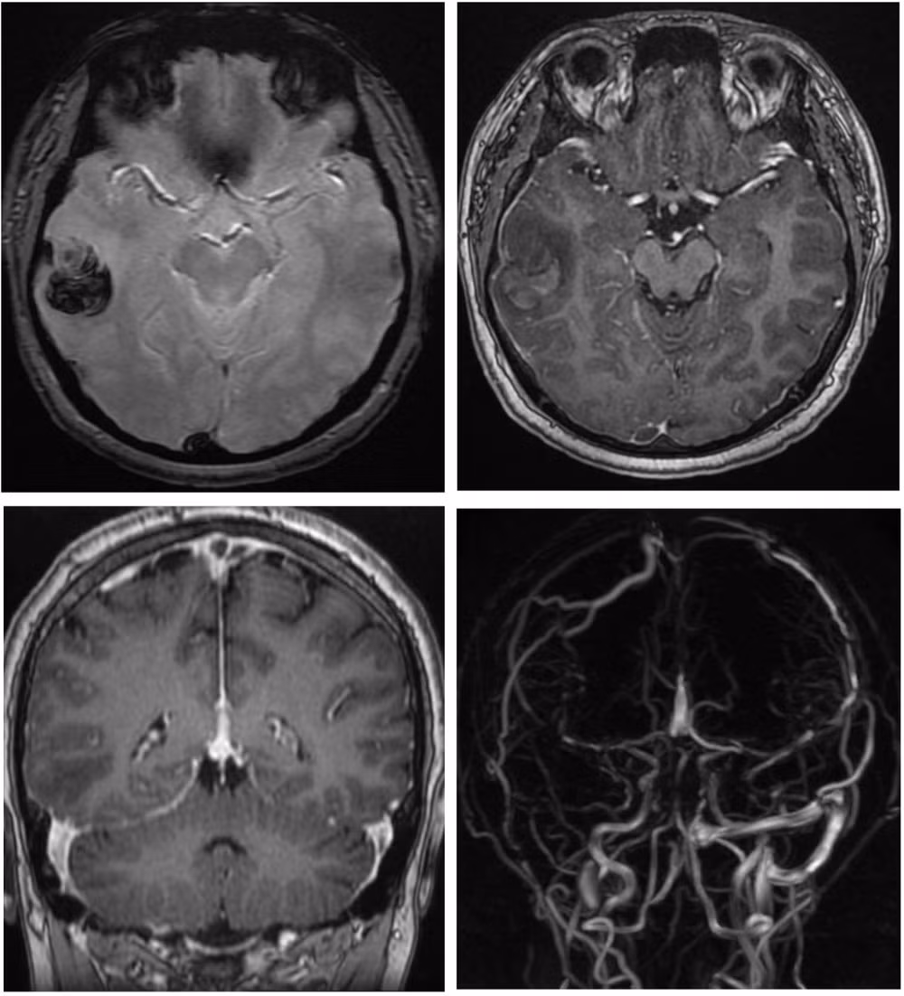
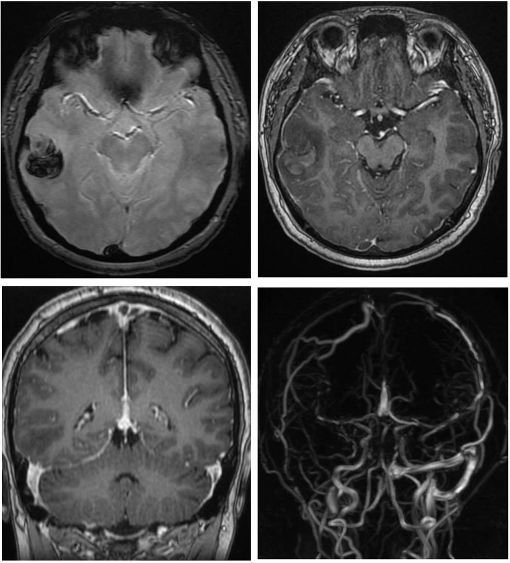
Bệnh nhân nhập viện trong tình trạng đau đầu dữ dội. Kết quả chụp CT scan cho thấy xuất huyết não, còn chụp cộng hưởng từ có bơm thuốc phát hiện huyết khối tại nhiều vị trí trong tĩnh mạch não.

Qua khai thác bệnh sử, bác sĩ ghi nhận bệnh nhân có thói quen hút shisha thường xuyên trong suốt một năm qua. Nhờ chẩn đoán kịp thời và điều trị bằng thuốc kháng đông, bệnh nhân đã hồi phục hoàn toàn.

Chẩn đoán hình ảnh ghi nhận bệnh nhân xuất huyết não, huyết khối nhiều vị trí trong tĩnh mạch não.
Chẩn đoán hình ảnh ghi nhận bệnh nhân xuất huyết não, huyết khối nhiều vị trí trong tĩnh mạch não.

BS Nguyễn Huy Thắng cho biết huyết khối tĩnh mạch não là tình trạng nguy hiểm, có thể dẫn đến đột quỵ hoặc tử vong. Shisha chứa nicotine, carbon monoxide cùng nhiều chất độc hại, làm tăng nguy cơ bệnh tim mạch, phổi, ung thư và huyết khối. Đặc biệt, mỗi giờ hút shisha tương đương với việc hít vào lượng khói gấp 100-200 lần một điếu thuốc lá, làm tăng khả năng đông máu, tổn thương mạch máu và ứ trệ dòng máu.

So với thuốc lá, shisha nguy hiểm hơn do lượng khói hít vào nhiều hơn, làm tăng mức độ phơi nhiễm với các chất độc. Tổ chức Y tế Thế giới (WHO) cảnh báo shisha có thể gây hại cho tim mạch tương đương hoặc hơn thuốc lá, đặc biệt khi kết hợp với các yếu tố nguy cơ khác như ngồi lâu, béo phì, dùng thuốc tránh thai hoặc hormone.

sggp.org.vn

Có thể bạn quan tâm

Tin cùng chuyên mục

Giữ vững tuyến đầu chăm sóc sức khỏe Nhân dân sau sáp nhập

Trạm Y tế xã Cốc San: Giữ vững tuyến đầu chăm sóc sức khỏe Nhân dân sau sáp nhập

Thực hiện chính quyền địa phương 2 cấp, trong điều kiện sắp xếp đơn vị hành chính và kiện toàn tổ chức bộ máy, Trạm Y tế xã Cốc San đã nỗ lực vượt khó, giữ vững vai trò tuyến đầu trong chăm sóc sức khỏe ban đầu, bảo đảm mọi hoạt động y tế diễn ra liên tục, hiệu quả, là địa chỉ tin cậy của Nhân dân.

Đào tạo điều phối viên hiến mô, tạng nâng cao

Đào tạo điều phối viên hiến mô, tạng nâng cao

Ngày 27/02, Bệnh viện Đa khoa số 2 tỉnh Lào Cai phối hợp cùng Trung tâm điều phối Quốc gia về ghép bộ phận cơ thể người tổ chức Chương trình đào tạo điều phối viên hiến mô, tạng nâng cao cho cán bộ y tế các tỉnh Lào Cai, Tuyên Quang và Vĩnh Phúc.

LUẬT PHÒNG BỆNH 2026: NHỮNG ĐIỂM QUAN TRỌNG BẠN CẦN BIẾT

LUẬT PHÒNG BỆNH 2026: NHỮNG ĐIỂM QUAN TRỌNG BẠN CẦN BIẾT

Năm 2026 đánh dấu bước chuyển quan trọng trong chiến lược phòng bệnh của Việt Nam khi Luật Phòng bệnh được cập nhật với nhiều quy định tiến bộ. Những thay đổi này không chỉ giúp hệ thống y tế chủ động hơn trước nguy cơ dịch bệnh mà còn trao cho người dân nhiều công cụ để tự bảo vệ sức khỏe.

Thầy thuốc trẻ và khát vọng cống hiến

Thầy thuốc trẻ và khát vọng cống hiến

Khát vọng cống hiến của thế hệ thầy thuốc trẻ hôm nay không chỉ là trách nhiệm nghề nghiệp, mà còn là tình yêu quê hương, là mong muốn góp phần xây dựng nền y tế ngày càng phát triển.

Toàn văn phát biểu của Tổng Bí thư Tô Lâm tại Bệnh viện Hữu Nghị

Toàn văn phát biểu của Tổng Bí thư Tô Lâm tại Bệnh viện Hữu Nghị

Nhân kỷ niệm 71 năm Ngày Thầy thuốc Việt Nam (27/2/1955 - 27/2/2026), Tổng Bí thư Tô Lâm đã tới thăm, chúc mừng ngành y tế cùng tập thể cán bộ, y bác sĩ và nhân viên y tế tại Bệnh viện Hữu Nghị. Báo và Phát thanh, Truyền hình Lào Cai trân trọng đăng tải toàn văn phát biểu của đồng chí Tổng Bí thư trong sự kiện ý nghĩa này.

Xây dựng đội ngũ cán bộ y tế "vừa hồng, vừa chuyên"

Xây dựng đội ngũ cán bộ y tế "vừa hồng, vừa chuyên"

Nhân kỷ niệm Ngày Thầy thuốc Việt Nam 27/02 - ngày Chủ tịch Hồ Chí Minh gửi thư cho Hội nghị cán bộ y tế toàn quốc (27/02/1955), mỗi chúng ta càng thêm tự hào và trân trọng những đóng góp thầm lặng mà to lớn của đội ngũ thầy thuốc đối với sự nghiệp chăm sóc, bảo vệ sức khỏe Nhân dân. Khắc ghi lời dạy sâu sắc của Người: “Lương y phải như từ mẫu”, những năm qua, ngành y tế tỉnh không ngừng phấn đấu xây dựng đội ngũ cán bộ “vừa hồng, vừa chuyên”, đáp ứng yêu cầu nhiệm vụ trong tình hình mới.

Ngày Thầy thuốc Việt Nam 27/2: Nữ bác sĩ tận tâm với người bệnh

Ngày Thầy thuốc Việt Nam 27/2: Nữ bác sĩ tận tâm với người bệnh

Gần 30 năm gắn bó với ngành y, bác sĩ Vũ Thị Châu Loan - Giám đốc Trung tâm Y tế khu vực Trấn Yên (Lào Cai) - không chỉ hoàn thành tốt nhiệm vụ chuyên môn, tìm ra phương pháp điều trị phù hợp cho từng bệnh nhân, mà còn là điểm tựa tin cậy, giúp người bệnh an tâm và vững vàng hơn trong suốt quá trình điều trị.

Giữ chân bác sĩ công: Cần đột phá đãi ngộ và môi trường làm việc

Giữ chân bác sĩ công: Cần đột phá đãi ngộ và môi trường làm việc

Chính sách lương, phụ cấp ngành y đang được cải thiện nhưng thu nhập tại nhiều bệnh viện công vẫn thấp hơn khu vực tư, tạo áp lực dịch chuyển nhân lực. Để giữ chân người giỏi, cần cải cách căn cơ từ tiền lương, cơ chế tự chủ đến môi trường làm việc và bảo vệ pháp lý, thay vì chỉ trông vào các khoản phụ cấp.

Làm chủ kỹ thuật cao – dấu ấn thắp sáng niềm tin

Làm chủ kỹ thuật cao – dấu ấn thắp sáng niềm tin

Nhân Ngày Thầy thuốc Việt Nam (27/02), nhìn lại hành trình làm chủ công nghệ của Bệnh viện Lão khoa - Phục hồi chức năng tỉnh Lào Cai: robot phục hồi chức năng, oxy cao áp, từ trường xuyên sọ… mở thêm cơ hội hồi phục ngay tại địa phương, giảm chuyển tuyến, tiết kiệm chi phí và bồi đắp niềm tin.

Một gia đình - 9 người con cháu cùng chung một sứ mệnh cứu người

Một gia đình - 9 người con cháu cùng chung một sứ mệnh cứu người

Đến tổ dân phố 12, xã Yên Bình, khi hỏi thăm bà Đặng Thị Hiên, hầu như ai cũng biết. Không chỉ là một cựu nhà giáo từng gắn bó với sự nghiệp giáo dục vùng cao được nhiều người kính trọng, bà còn được biết đến là người mẹ, người bà của 9 người con cháu đang cùng chung sứ mệnh cứu người.

Thêm tiếng cười trẻ thơ

Thêm tiếng cười trẻ thơ

Mùa xuân về, núi rừng như “thức dậy” sau những ngày đông dài. Mầm non hé nụ, hoa rừng bung sắc bên nếp nhà gỗ, nhà trình tường bình yên bên sườn núi. Trong khoảnh khắc giao mùa ấy, bản làng không chỉ đón chào mùa mới mà còn đón chào những sự sống mới ra đời.

Viết tiếp kỳ tích ghép tạng Việt

Viết tiếp kỳ tích ghép tạng Việt

Sau hơn 3 thập kỷ khởi động, ngành ghép tạng Việt Nam đã vươn lên mạnh mẽ với hàng loạt ca phẫu thuật phức tạp, cứu sống hàng nghìn bệnh nhân từ "cửa tử".

Khi phép màu đến từ sự tiến bộ của y học địa phương

Khi phép màu đến từ sự tiến bộ của y học địa phương

Mường Khương từng là "vùng trũng" về tiếp cận dịch vụ y tế chuyên sâu, tuy nhiên hiện nay những bước tiến của y học địa phương đang lặng lẽ tạo nên kỳ tích. Tại Trung tâm Y tế khu vực Mường Khương, các y, bác sĩ đã làm chủ kỹ thuật khai thông mạch não bằng điều trị thuốc tiêu sợi huyết - kỹ thuật loại đặc biệt đòi hỏi chuyên môn cao và sự phối hợp khẩn trương trong từng phút giây vàng.

Hơn 1.000 ca cấp cứu trong 8 ngày Tết, tai nạn do pháo nổ tự chế gia tăng

Hơn 1.000 ca cấp cứu trong 8 ngày Tết, tai nạn do pháo nổ tự chế gia tăng

Trong kỳ nghỉ Tết Nguyên đán năm nay (8 ngày), Bệnh viện Hữu nghị Việt Đức đã tiếp nhận hơn 1.000 trường hợp cấp cứu. Trung bình mỗi ngày, bệnh viện tiếp nhận khoảng 200 ca, trong đó phần lớn là tai nạn giao thông. Một trường hợp chết não đang được hội chẩn, tiến hành lấy-ghép đa tạng cứu sống nhiều bệnh nhân khác. 

Xuân của niềm tin

Xuân của niềm tin

Mùa xuân mang theo niềm hy vọng, niềm vui và những đổi thay tích cực trên khắp mọi miền đất nước. Trong nhịp chuyển mình của đất trời khi xuân về, ngành y tế Lào Cai bước vào mùa xuân của niềm tin và những khởi sắc. Mùa xuân ấy được vun đắp từ những công trình y tế khang trang, hiện đại, từ sự đầu tư bài bản cho cơ sở vật chất, trang thiết bị, với khát vọng chăm sóc sức khỏe Nhân dân ngày càng toàn diện, nhân văn hơn.

fb yt zl tw