Qua thăm khám và khai thác thông tin, nguyên nhân của khối loét được xuất phát trên nền sẹo bỏng lâu năm trước đó của bệnh nhân. Sau khi làm các xét nghiệm cần thiết, người bệnh được chẩn đoán ung thư biểu mô tế bào vảy.
Ngay lập tức các bác sĩ khoa Ngoại Thần kinh - Cột sống, Gây mê hồi sức và Phẫu thuật, Tạo hình và Thẩm mỹ đã phối hợp phẫu thuật và điều trị cho người bệnh.
Theo BSCKII. Nguyễn Thanh Tùng - Trưởng Khoa Phẫu thuật Tạo hình và Thẩm mỹ, Bệnh viện Trung ương Thái Nguyên, bệnh nhân đã được phẫu thuật cắt lọc rộng tổn thương và toàn bộ xương đỉnh, một phần màng cứng. Đồng thời tạo hình một thì bằng vạt đùi trước, đấu nối vào hệ thống mạch máu ở thái dương.
Sau 10 ngày phẫu thuật, sức khỏe bệnh nhân ổn định, ăn uống, vận động đi lại bình thường, vạt không có tình trạng nhiễm trùng, hồi lưu mạch tốt và được xuất viện.
Qua trường hợp trên, các bác sĩ cảnh báo người dân khi có vết thương loét, trợt, ngứa lâu lành trên nền sẹo bỏng hay vết thương mạn tính không liền được cần đến ngay các cơ sở y tế uy tín để được khám và điều trị kịp thời, tránh để các vết loét trợt trở nặng, có thể tiến triển thành ung thư, ảnh hưởng rất lớn đến sức khỏe và tính mạng.
Phát hiện sớm các tổn thương ung thư trên da
Ung thư biểu mô tế bào vảy là một dạng ung thư da và niêm mạc khá phổ biến hiện nay. Mức độ nguy hiểm của bệnh khá cao, nếu không được phát hiện sớm và điều trị kịp thời có thể dẫn đến tử vong.
Theo ThS.BSCKII. Nguyễn Quốc Dũng - Khoa Phẫu thuật đầu mặt cổ, Bệnh viện K, ung thư biểu mô vảy đầu cổ chưa rõ nguyên phát khá hiếm gặp chiếm tỷ lệ 1-3% các trường hợp mới mắc của ung thư vùng đầu cổ.
Ung thư biểu mô vảy đầu cổ không rõ nguyên phát được chẩn đoán khi có một hoặc nhiều hạch vùng đầu cổ (không phải hạch thượng đòn đơn độc) di căn của ung thư biểu mô vảy và không xác định được vị trí nguyên phát.
Rất nhiều bệnh nhân ung thư vùng đầu cổ biểu hiện khối tổn thương vùng cổ kèm theo tổn thương u nguyên phát. Tổn thương di căn ung thư biểu mô vảy của hạch thượng đòn đơn độc thường có u nguyên phát của da hoặc các tạng dưới đòn như phổi, vú, đại tràng, tiền liệt tuyến, thực quản, cổ tử cung, niệu đạo...

Khi có vết thương loét, trợt, ngứa lâu lành trên nền sẹo bỏng hay vết thương mạn tính không liền được cần đến ngay các cơ sở y tế uy tín để được khám và điều trị kịp thời.
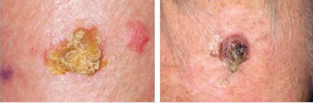
Các biểu hiện ung thư biểu mô tế bào vảy thường gặp là tổn thương da dạng nốt, sẩn hoặc mảng, gồ nhẹ so với bề mặt da, có giới hạn rõ, màu hồng hoặc đỏ. Bề mặt sang thương có thể trơn láng, dày sừng hoặc có dạng lở loét, dễ chảy máu.
Sang thương da (những khối mô ở da phát triển bất thường nằm trên bề mặt hay ngay dưới da) có thể gây đau nhức hoặc ngứa. Nếu sang thương xâm lấn thần kinh, bệnh nhân sẽ xuất hiện một số triệu chứng như tê bì, cảm giác bỏng rát, dị cảm…
Ung thư biểu mô tế bào vảy thường phát triển chậm và triệu chứng xuất hiện trên da có dấu hiệu khác của ánh nắng mặt trời (thay đổi màu sắc da, mất tính đàn hồi, nếp nhăn) nên thường khó khăn để phát hiện.
Các yếu tố gây ung thư biểu mô tế bào vảy
Theo ghi nhận, tia UV trong ánh nắng mặt trời là thủ phạm chính của bệnh ung thư da, trong đó có ung thư biểu mô tế bào vảy. Những người thường xuyên tiếp xúc với các tia UV có nguy cơ mắc bệnh ung thư biểu mô tế bào vảy cao.
Việc thường xuyên tiếp xúc với các loại hóa chất như: than, nhựa đường, khói muội, dầu hỏa, xăng dầu, thuốc nhuộm tóc, lọc dầu và thạch tín… làm tăng nguy cơ mắc bệnh ung thư biểu mô tế bào vảy.
Những tổn thương về da hoặc có thời gian dài bị viêm nhiễm có nguy cơ cao trong việc phát triển ung thư biểu bì tế bào có vảy.
Ngoài ra, người có tiền sử gia đình (cha mẹ hoặc anh chị em ruột) mắc bệnh ung thư da thì nguy cơ mắc bệnh ung thư biểu mô tế bào vảy cũng cao hơn.
Những người thường xuyên hút thuốc, uống rượu bia có nhiều khả năng phát triển ung thư da tế bào vảy, đặc biệt là trên môi.
Để phòng tránh ung thư biểu mô tế bào vảy, theo BS. Dũng cần hạn chế tiếp xúc với ánh nắng mặt trời từ 10h-15h. Ra đường nên sử dụng kem chống nắng. Không hút thuốc lá, uống rượu bia. Cần tăng cường hệ miễn dịch bằng cách duy trì chế độ ăn hợp lý và tập luyện thể dục thể thao đều đặn.
Ngoài ra, thường xuyên kiểm tra da để phát hiện những dấu hiệu bất thường trên da, khi có dấu hiệu nghi ngờ cần tới ngay cơ sở y tế để được chẩn đoán và điều trị.
(Theo SKĐS)